Hiện nay, tụt lợi là bệnh lý mà nhiều người đang mắc phải khiến họ bị ê buốt. Người mắc phải thường cảm thấy tự ti, khó chịu khi ăn uống sinh hoạt và hoạt động răng miệng. Lúc này, nhiều người chủ quan nghĩ rằng tụt lợi sẽ tự khỏi sau một thời gian. Vậy thực tế tụt lợi có tự khỏi không? Hãy cùng Nha khoa DrGreen tìm hiểu và giải đáp chi tiết trong bài viết này. Cùng với đó là cách chữa trị bệnh tụt lợi hiệu quả nhất hiện nay
Tụt lợi là gì? Những dấu hiệu nhận biết
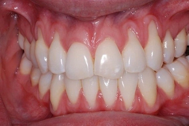
Tụt lợi là tình trạng mà phần lợi bị thụt xuống và dần dần lõm vào phía sau. Từ đó khiến phần cổ răng trở nên nằm ngoài bờ nướu. Lúc này phần mô nướu bao quanh răng bị co rút hoặc di chuyển xuống thấp hơn. Nếu mắc phải bệnh lý tụt lợi thì răng miệng sẽ xuất hiện một số dấu hiệu như sau:
- Lộ chân răng: Đây là dấu hiệu rõ ràng nhất của tụt lợi. Khi nướu rút xuống, phần chân răng trở nên dễ thấy hơn so với bình thường.
- Nhạy cảm răng: Khi chân răng bị lộ, các dây thần kinh sẽ dễ bị kích thích hơn. Từ đó gây ra hiện tượng nhạy cảm với các yếu tố như nhiệt độ nóng, lạnh. Hoặc nhạy cảm khi ăn uống chua, ngọt.
- Đau hoặc khó chịu: Một số người có thể cảm thấy đau hoặc khó chịu ở vùng nướu bị tụt. Đặc biệt khi đánh răng hoặc ăn uống.
- Chảy máu nướu: Nướu tụt có thể dễ bị tổn thương hơn. Dẫn đến tình trạng chảy máu khi đánh răng, dùng chỉ nha khoa hoặc ăn uống.
- Mảng bám và cao răng tích tụ: Khi nướu tụt, khả năng tự làm sạch của nướu giảm. Đây là điều kiện dễ dẫn đến tích tụ mảng bám và cao răng. Lâu dài làm tình trạng tụt nướu trở nên nghiêm trọng hơn.
- Hơi thở có mùi hôi: Mảng bám và vi khuẩn tích tụ ở vùng răng bị tụt nướu có thể gây ra hơi thở có mùi khó chịu.
/https://cms-prod.s3-sgn09.fptcloud.com/tut_loi_co_tu_khoi_khong_cach_doi_pho_khi_bi_tut_loi_1_9a223c6c6e.jpg)
Nguyên nhân gây tụt lợi là gì?
Hiện nay có rất nhiều nguyên nhân gây tụt lợi khác nhau. Từ thói quen vệ sinh răng miệng không đúng cách đến các vấn đề bệnh lý. Trong đó những nguyên nhân chính như sau:
- Tuổi tác càng cao thì hệ miễn dịch của cơ thể càng bị suy giảm. Đây là một trong những nguyên nhân chính dẫn tới tình trạng bị tụt lợi.
- Đối tượng phụ nữ, quá trình thay đổi nội tiết tố diễn ra khi mang thai, giai đoạn dậy thì. Lúc này tiền mãn kinh có thể làm cho lợi bị nhạy cảm. Đây là điều kiện làm cho vi khuẩn dễ dàng tấn công và lợi bị tụt.
- Sử dụng bàn chải lông quá to hoặc bị cứng. Vệ sinh đánh răng không đúng cách, chải răng với lực quá mạnh. Đây là một trong những nguyên nhân tiêu biểu gây tổn thương nướu, dẫn tới tụt lợi.
- Chế độ ăn uống không đủ chất dinh dưỡng, đặc biệt là thiếu Vitamin C Lúc này cơ thể thiếu vitamin C có thể gây ra bệnh viêm nướu Scorbut. Hiện tượng tụt lợi chính là biến chứng nguy hiểm mà Scorbut gây ra.
- Hút thuốc là một trong các nguyên nhân hàng đầu gây ra tình trạng tụt lợi. Khi hệ miễn dịch không còn khỏe mạnh, người hút thuốc lá sẽ rất dễ bị mắc các bệnh về răng miệng trong đó có tụt lợi.

Tụt lợi có tự khỏi không?
“Tụt lợi có tự khỏi không?” là thắc mắc của rất nhiều người hiện nay. Rất nhiều người có suy nghĩ rằng tụt lợi sẽ tự khỏi và hết đau sau khoảng thời gian nhất định. Tuy nhiên thực tế tụt lợi không có tự khỏi được. Lúc này, lợi đã bị tổn thương nên không thể tự hồi phục như trước được nữa.
Tuy nhiên, nếu bạn bị tụt lợi cũng không cần phải lo lắng quá nhiều. Bởi bệnh lý này hoàn toàn có thể được chữa trị hiệu quả. Điều quan trọng cần làm đó là phải tìm đến các nha khoa uy tín. Tại đây, đội ngũ bác sĩ chuyên nghiệp sẽ giúp bạn điều trị. Bạn sẽ được các bác sĩ thăm khám, xác định mức độ tụt lợi cụ thể như thế nào.
Trong các trường hợp chỉ vừa bị tụt lợi nhẹ do chải răng sai cách. Bệnh nhân chỉ cần đổi bàn chải có lông mềm, thay đổi cách chải sao cho nhẹ nhàng hơn. Đồng thời chải theo chiều dọc hoặc chiều xoắn ốc. Từ đó giúp làm sạch răng tối ưu mà không gây các ảnh hưởng xấu cho răng lợi.
Đối với trường hợp biến chứng nặng thì cần trải qua các thủ thuật điều trị chuyên dụng. Từ đó khắc phục dứt điểm bệnh lý, cải thiện sức khỏe răng miệng tốt hơn.

Cách chữa trị tụt lợi hiệu quả và an toàn
Người bị tụt lợi nhẹ nên điều trị thế nào?
Người bị tụt lợi nhẹ có thể áp dụng một số biện pháp điều trị. Đồng thời có phương pháp chăm sóc tại nhà để cải thiện tình trạng nướu. Dưới đây là một số gợi ý:
- Sử dụng bàn chải mềm và kỹ thuật đánh răng nhẹ nhàng, không gây tổn thương cho nướu. Đánh răng ít nhất hai lần mỗi ngày.
- Giúp loại bỏ mảng bám và thức ăn ở những khu vực mà bàn chải không thể chạm tới. Sử dụng chỉ nha khoa ít nhất một lần mỗi ngày.
- Sử dụng nước súc miệng chứa fluor hoặc nước súc miệng kháng khuẩn. Từ đó giúp giảm vi khuẩn trong khoang miệng và cải thiện sức khỏe nướu.
- Ăn uống lành mạnh, tăng cường thực phẩm giàu vitamin C và canxi. Ví dụ như trái cây, rau xanh, sữa và các sản phẩm từ sữa. Những thực phẩm này giúp tăng cường sức khỏe nướu.
- Ngừng hút thuốc lá và tránh các thói quen có hại khác có thể ảnh hưởng đến sức khỏe nướu.
- Một số sản phẩm như gel hoặc thuốc mỡ chứa kháng sinh hoặc kháng viêm có thể giúp cải thiện tình trạng nướu. Tuy nhiên, nên tham khảo ý kiến nha sĩ trước khi sử dụng.

Người bị tụt lợi nặng phải làm sao?
Khi lợi bị tụt nghiêm trọng ở nhiều răng, phần lợi bị viêm đỏ nặng. Lúc này chân răng lộ ra ngày càng nhiều thì ngoài việc tới nha khoa lấy cao răng thì phẫu thuật là cách điều trị tốt nhất đối với trường hợp này. Có 3 phương pháp phẫu thuật tụt nướu với các ưu nhược điểm như sau:
- Phẫu thuật vạt tại chỗ tụt nướu. Phương pháp này được chia nhỏ thành các phương pháp nhỏ. Ví dụ như phẫu thuật trượt về phía cổ răng, trượt bên, nhú lợi kép, …
- Phẫu thuật sử dụng mô ghép rời tự thân. Đây là kỹ thuật sử dụng mô ở phần khác cấy vào phần bị tụt nướu. Nó được chia thành các phương pháp nhỏ. Ví dụ như ghép mô liên kết dưới biểu mô, ghép lợi tự do tự thân,…
- Phẫu thuật sử dụng màng nhân tạo kết hợp với vạt tại chỗ. Ví dụ như dùng biểu mô không tế bào, tái sinh mô,…
Tuy nhiên, mỗi phương pháp sẽ có đặc điểm khác nhau. Bạn cần phải trao đổi với bác sĩ để được thăm khám và tư vấn chính xác. Nếu bạn còn gặp phải các vấn đề khác về răng miệng, cần phải điều trị lần lượt từng vấn đề sau đó chăm sóc và phục hồi dần.
Xem thêm:
- Nhiệt ở lưỡi do đâu? Nguyên nhân và cách điều trị hiệu quả
- Điều trị mọc răng khôn bị nứt lợi, sứng nướu
Trên đây là lời giải đáp cho thắc mắc “Tụt lợi có tự khỏi không?”. Cùng với đó là những cách chữa trị tụt lợi hiệu quả và an toàn. Để được tư vấn cụ thể, hãy liên hệ Nha khoa DrGreen theo thông tin bên dưới
Hotline: 0936.996.609
Fanpage: https://www.facebook.com/nhakhoadrgreen
Website: nhakhoadrgreen.vn
Hệ thống Nha khoa Dr Green:
- 40B Lạch Tray, Ngô Quyền, Hải Phòng
- HDS11 Vinhomes Marina, Lê Chân, Hải Phòng
- 38 Tân Dương, Thủy Nguyên, Hải Phòng
- 43 Trần Phú, Cẩm Phả, Quảng Ninh












