4.6/5 - (295 bình chọn)

Tụt chân răng là hiện tượng gây ảnh hưởng đến việc sinh hoạt và thẩm mỹ hàm răng. Tình trạng này xảy ra khi mảng vi khuẩn tích tụ trên bề mặt răng. Sau đó vi khuẩn gây ra tổn thương cho lớp men răng. Từ đó khiến cho răng trở nên nhạy cảm và dễ bị sâu răng. Nếu không được chữa trị kịp thời có thể gây biến chứng. Trong bài viết này, Nha khoa DrGreen xin chia sẻ tới các bạn những điều cần biết về hiện tượng tụt cổ chân răng. Cùng với đó là cách điều trị

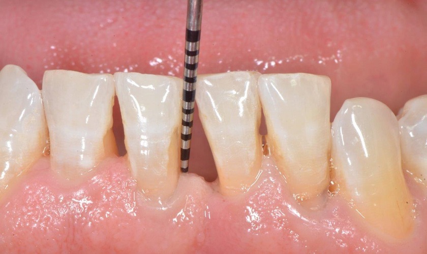
Tụt cổ chân răng là gì ?

Tụt cổ chân răng(hở cổ răng, hở chân răng, tụt lợi chân răng) là tình trạng các mô lợi xung quanh răng bị mòn. Hoặc mô lợi bị kéo tụt ngược trở lại từ bề mặt răng. Đây là bệnh lý răng miệng khá phổ biến, có thể gặp ở nhiều độ tuổi khác nhau. Trong đó, tỷ lệ bị tụt chân răng nhiều nhất là người ở độ tuổi trung niên.

Những dấu hiệu nhận biết tụt cổ chân răng gồm:

  • Hơi thở có mùi hôi khó chịu.
  • Răng có cảm giác ê buốt, đau nhức khi ăn uống đồ nóng, lạnh hoặc ngọt, chua.
  • Thường xuyên chảy máu chân răng khi vệ sinh răng miệng.
  • Xuất hiện các khoảng hở giữa răng và đường viền nướu.
  • Nướu sưng đỏ và đau nhức.
  • Răng yếu đi và có dấu hiệu lung lay.
  • Ngà răng bị lộ ra ngoài, dáng răng trông dài hơn bình thường. Từ đó lực ăn nhai của răng bị giảm mạnh;
  • Các kẽ răng bị mắc thức ăn nhiều hơn, gây khó chịu khi ăn uống;
  • Bề mặt nướu có thể xuất hiện các ổ viêm, gây đau nhức, mưng mủ.

Tụt lợi chân răng là gì? Nguyên nhân và cách điều trị - Nha Khoa Tân Định

Nguyên nhân gây tụt cổ chân răng

Tình trạng này xảy ra do nhiều nguyên nhân khác nhau. Chủ yếu các nhóm nguyên nhân gây nên hiện tượng tụt lợi gồm:

  • Yếu tố di truyền: Yếu tố về gen di truyền các vấn đề về răng lợi. Từ đó sẽ ảnh hưởng đến các thế hệ sau này. Nếu người thân trong gia đình bạn gặp tình trạng này rất có thể những thế hệ sau sẽ tiếp tục gặp tình trạng hở lợi.
  • Do thói quen sinh hoạt không phù hợp: một số người vệ sinh răng miệng không hợp lý. Họ đánh răng sai cách, dùng bàn chải đánh răng cứng, không lấy cao răng thường xuyên. Những việc này cũng gây ra ra tình trạng tụt lợi hở chân răng.
  • Do những bệnh lý khác: một số người bị chảy máu chân răng, viêm lợi, viêm nướu, sâu răng, răng ố. Khi để lâu cũng dẫn đến tình trạng tụt cổ chân răng ở nhiều người.
  • Những nguyên nhân khác: một số người cơ địa gặp tình trạng răng lệch hoặc lợi ngắn. Những điều này khiến bạn cũng rất dễ gặp tình trạng tụt cổ chân răng.

Hở chân răng có những dấu hiệu gì? Chữa dứt điểm thế nào?

Những ảnh hưởng của tình trạng tụt cổ chân răng

Tình trạng tụt cổ chân răng không chỉ khiến nhiều người mất tự tin khi giao tiếp. Nó còn có thể gây ra nhiều hậu quả nghiêm trọng nếu không được điều trị kịp thời. Trong đó, tụt nướu chân răng là một trong những biểu hiện thường gặp. Tụt nướu chân răng có thể gây ra nhiều vấn đề khác nhau, bao gồm:

Ảnh hưởng đến thẩm mỹ

Tụt nướu chân răng làm cho răng trông dài hơn và kích thước không đều, gây mất thẩm mỹ. Bên cạnh đó, tình trạng này cũng làm cho vi khuẩn dễ tấn công vào chân răng và các mô nướu. Từ đó dẫn đến các bệnh răng miệng như sâu răng, viêm nha chu… Lâu dài sẽ khiến nhiều người bệnh mất tự tin trong giao tiếp.

Khiến răng nhạy cảm hơn

Tụt sâu phần lợi răng làm cho ngà răng lộ ra nhiều hơn. Tạo cơ hội vi khuẩn tấn công tủy răng và gây mòn chân răng do vệ sinh không đúng cách. Lúc này, răng trở nên nhạy cảm hơn. Điều này khiến người bệnh cảm thấy khó chịu khi ăn uống và nói chuyện. Từ đó dẫn đến các triệu chứng ê buốt kéo dài, đặc biệt khi ăn đồ lạnh.

Hở chân răng là gì? Nguyên nhân và các phương pháp điều trị 2

Gây ra tụt nướu và chảy máu chân răng

Tình trạng hở cổ chân răng khiến người bệnh dễ bị chảy máu chân răng trong quá trình ăn uống và vệ sinh răng miệng. Khi nhai thức ăn cứng, dùng bàn chải hoặc chỉ nha khoa cũng có thể gây tổn thương nướu răng. Nếu tình trạng tụt lợi kéo dài thì các mô nướu sẽ càng yếu ớt. Điều này sẽ gây chảy máu chân răng liên tục, hơi thở có mùi và đau răng kéo dài.

Gây ra nguy cơ mất răng

Nếu không được điều trị kịp thời, tình trạng hở cổ răng có thể dẫn đến mất răng vĩnh viễn. Vi khuẩn tấn công chân răng khiến chúng dễ bị lung lay. Sau đó răng có thể gãy rụng sau một thời gian. Việc mất răng sẽ ảnh hưởng nghiêm trọng đến sức khỏe và chất lượng cuộc sống của người bệnh.

Hở chân răng là gì? Nguyên nhân và các phương pháp điều trị 3

Cách điều trị tụt cổ chân răng hiệu quả

Hở cổ chân răng mức độ nhẹ, không gây ê buốt

Dựa vào từng mức độ tụt nướu mà bác sĩ sẽ đưa ra những biện pháp điều trị phù hợp.

  • Bạn chỉ cần thay đổi cách đánh răng nếu bạn đang đánh răng sai cách. Chải răng nhẹ nhàng theo chiều dọc, xoay tròn. Việc này sẽ lấy sạch mảng bám còn thừa mà không làm mòn chân răng. Tuyệt đối không được chải ngang vì sẽ làm nướu bị tụt nhiều hơn.
  • Dùng nước súc miệng có chứa thành phần chống khuẩn với tác dụng giảm ê buốt và mòn chân răng.
  • Dùng chỉ nha khoa thay cho tăm xỉa răng để không làm hở chân răng.
  • Đến nha khoa cạo vôi, loại bỏ các ổ viêm nhiễm và phục hồi mô nha chu.
  • Với những bạn có men răng bị mòn và lộ nhiều chân răng thì cách chữa trị tốt nhất là hàn trám hoặc bọc răng sứ.

Cách chữa hở chân răng theo các mức độ

Hở chân răng nặng, kèm theo biểu hiện khó chịu

Giai đoạn này có thể nhìn thấy bằng mắt thường và thường xuyên bị ê buốt răng. Lúc này bạn cần xác định nguyên nhân để có phương án điều trị triệt để. Đa số nguyên nhân gây hở chân răng đều có thể điều trị bằng cách ghép vạt lợi để phục hồi lại phần lợi.

Dựa vào mức độ tụt như thế nào, cấu trúc răng, số lượng răng và vị trí mà bác sĩ sẽ có đánh giá và đưa ra phương án chữa trị phù hợp. Nếu bạn bị tụt lợi do mất răng lâu ngày làm tiêu xương thì bác sĩ sẽ chỉ định ghép xương trước. Sau đó cấy ghép Implant để phục hình răng đã mất. Tiếp theo bác sĩ sẽ kiểm tra tình trạng xem có cần ghép vạt lợi hay không.

Tụt Lợi Hở Chân Răng: Nguyên Nhân, Dấu Hiệu Và Điều Trị

Cách phòng ngừa việc tụt cổ chân răng

Để giảm thiểu nguy cơ bị tụt cổ chân răng, bạn cần chú ý đến cách chăm sóc răng miệng và chế độ ăn uống, sinh hoạt như sau:

Vệ sinh răng miệng đúng cách: Đánh răng ít nhất 2 lần/ngày với bàn chải lông mềm. Lưu ý chải răng nhẹ nhàng theo chuyền dọc hoặc xoay tròn. Không chải răng quá mạnh bạo hoặc theo chiều ngang. Kết hợp sử dụng thêm chỉ nha khoa, nước súc miệng. Từ đó lấy đi hết mảng bám và vi khuẩn còn sót lại trong khoang miệng.

Ăn uống khoa học: Hạn chế đồ ngọt, đồ uống có ga dễ gây hại cho men răng. Thay vào đó ăn nhiều trái cây, rau xanh, thịt, cá…  Những thực phẩm này cung cấp vitamin, khoáng chất tốt cho răng.

Thăm khám nha khoa định kỳ: Định kỳ 6 tháng/lần đến nha khoa để cạo vôi răng. Đồng thời kiểm tra sức khỏe răng miệng. Nếu có dấu hiệu bệnh lý thì có thể điều trị kịp thời.

Xem thêm:

Trên đây là những điều cần biết về hiện tượng tụt cổ chân răng. Cùng với đó là cách điều trị và phòng ngừa tái phát hiện tượng này. Để được tư vấn cụ thể, hãy liên hệ Nha khoa DrGreen theo thông tin bên dưới

Hotline: 0936.996.609

Fanpage: https://www.facebook.com/nhakhoadrgreen

Website: nhakhoadrgreen.vn

Hệ thống Nha khoa Dr Green:

  1. 40B Lạch Tray, Ngô Quyền, Hải Phòng
  2. HDS11 Vinhomes Marina, Lê Chân, Hải Phòng
  3. 38 Tân Dương, Thủy Nguyên, Hải Phòng
  4. 43 Trần Phú, Cẩm Phả, Quảng Ninh