Hiện nay, bọc răng sứ là phương pháp phổ biến giúp cho hàm răng trắng sáng và đều đẹp. Tại đây, răng sứ được chế tác bằng vật liệu cao cấp và gắn lên trên răng thật của khách hàng. Tuy nhiên, sẽ có những vấn đề có thể xảy ra sau khi thực hiện bọc răng sứ. Việc nắm rõ những vấn đề này sẽ giúp bạn đảm bảo độ bền cho hàm răng sau khi bọc. Vậy những dấu hiệu răng sứ có vấn đề gồm những gì? Nguyên nhân và khắc phục ra sao? Hãy cùng Nha khoa DrGreen giải đáp trong bài viết này
Tuổi thọ của răng sứ sau khi bọc là bao lâu?
Trước khi tìm hiểu các dấu hiệu răng sứ có vấn đề thì cần biết tuổi thọ của răng sứ là bao lâu. Răng sứ hiện nay là một giải pháp phục hình răng phổ biến và hiệu quả. Nó không chỉ giúp tái tạo tính thẩm mỹ mà còn duy trì chức năng ăn nhai. Ngoài ra sự tiến bộ vượt bậc của công nghệ nha khoa càng rõ rệt. Cùng với đó các loại răng sứ ngày càng được sử dụng vật liệu cao cấp. Vì thế răng sứ ngày càng trở nên bền bỉ, tự nhiên. Thông qua đó mang lại hiệu quả lâu dài cho người sử dụng.
Hiện nay, các răng sứ sử dụng sứ nguyên khối hoặc sứ không kim loại đang phổ biến. Vì thế các sản phẩm răng sứ hiện nay có khả năng chống mài mòn, chịu lực rất cao. Đồng thời ổn định trong môi trường miệng và đảm bảo độ tương thích sinh học cao. Tuổi thọ trung bình của răng sứ dao động từ 7 đến 15 năm. Tuy nhiên, thời gian răng sứ hoàn toàn có thể kéo dài hơn nữa. Đặc biệt nếu được chăm sóc và bảo dưỡng đúng cách.
Tuy nhiên, độ bền và tuổi thọ của răng sứ sẽ ảnh hưởng bởi một số yếu tố. Trong đó bao gồm loại răng sứ sử dụng, tay nghề của bác sĩ thực hiện. Ngoài ra là thói quen chăm sóc răng miệng, tần suất kiểm tra định kỳ tại nha sĩ. Quan trọng nhất độ bền răng sứ sẽ bị giảm do các thói quen có thể gây hại. Ví dụ như nghiến răng, ăn uống thức ăn quá cứng hoặc tính axit mạnh.

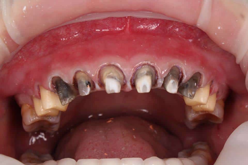
Các dấu hiệu răng sứ có vấn đề phổ biến
Sau khi bọc răng sứ, khách hàng cần đặc biệt lưu ý đến các biểu hiện bất thường trong quá trình sử dụng. Việc mão sứ không sát khít với cùi răng thật không chỉ gây khó chịu trong sinh hoạt hàng ngày. Điều này còn tiềm ẩn nhiều nguy cơ ảnh hưởng đến sức khỏe răng miệng. Một số dấu hiệu răng sứ có vấn đề phổ biến bao gồm:
- Răng sứ không ôm sát hoàn toàn vào cùi răng, người dùng sẽ cảm thấy vướng víu khi cắn, nhai.
- Lực nhai không đều có thể gây mỏi hàm, khó nhai hoặc cảm giác lệch khớp cắn.
- Răng trở nên nhạy cảm khi tiếp xúc với thực phẩm nóng, lạnh hoặc chua.
- Triệu chứng này có thể xuất phát từ việc mão sứ bị hở. Thông qua đó làm lộ ngà răng hoặc gây kích ứng tủy.
- Thức ăn thừa và vi khuẩn tích tụ tại khe hở giữa mão sứ và nướu. Từ đó gây mùi khó chịu kéo dài.
- Dù vệ sinh kỹ, tình trạng hôi miệng vẫn khó cải thiện. Đặc biệt không xử lý triệt để vị trí hở.
- Mão sứ không ôm sát khiến chân răng thật bị lộ. Theo thời gian chúng sẽ tạo điều kiện cho vi khuẩn phát triển.
- Có thể quan sát thấy phần lợi quanh chân răng đỏ, dễ chảy máu. Thậm chí dễ tụt lợi hoặc xuất hiện mủ nếu viêm nặng.
- Viền răng sứ không liền khít với mô nướu, tạo khoảng trống dễ tích tụ vi khuẩn và thức ăn.
- Người dùng có thể cảm nhận khe hở bằng lưỡi hoặc soi gương để kiểm tra bằng mắt thường.

Nguyên nhân gây ra các dấu hiệu răng sứ có vấn đề
Bác sĩ thiếu kỹ thuật trong khi thực hiện làm răng sứ
Mài răng là một bước quan trọng trong quy trình bọc răng sứ. Điều này đòi hỏi bác sĩ phải có tay nghề cao và khả năng phán đoán chính xác. Thông qua đó đảm bảo tỷ lệ mài sao cho hợp lý. Việc mài răng đúng tỷ lệ sẽ giúp giảm thiểu tối đa các rủi ro. Đồng thời đảm bảo sự tương thích của răng sứ với cấu trúc răng thật.
Tuy nhiên, một số trường hợp bác sĩ thiếu kinh nghiệm hoặc tay nghề. Khi đó tỷ lệ mài không chính xác có thể gây ra tổn thương nghiêm trọng cho răng và nướu. Mài răng quá nhiều hoặc không đều dẫn đến tình trạng xâm lấn mô răng thật. Khi mô răng thật bị xấm lấn quá mức, nó sẽ làm suy yếu chân răng. Điều này không chỉ gây tụt nướu mà còn có thể gây ra dấu hiệu răng sứ có vấn đề. Từ đó ảnh hưởng đến cả tính thẩm mỹ lẫn chức năng ăn nhai của răng.

Chế tác răng sứ sai kích thước và hình dáng
Một yếu tố khác ảnh hưởng đến hiệu quả của việc bọc răng sứ chính là quá trình lấy dấu răng hàm và chế tác răng sứ. Bác sĩ sẽ tiến hành thăm khám và lấy dấu hàm để tạo ra một mẫu chuẩn xác. Thông qua đó chế tác răng sứ sao cho phù hợp với từng trường hợp cụ thể.
Tuy nhiên, một số trường hợp quá trình lấy dấu không được thực hiện chính xác. Thậm chí dụng cụ lấy dấu không đạt chất lượng an toàn y tế. Khi đó kết quả chế tác răng sứ sẽ bị sai lệch. Răng sứ không khít đúng vị trí, gây ra các khe hở giữa răng sứ và nướu. Thông qua đó làm giảm khả năng chịu lực và có thể dẫn đến việc răng sứ bị đẩy. Thậm chí làm cho răng sứ lên cao hoặc gây kích ứng cho nướu.

Chất lượng răng sứ kém chất lượng và kém bền
Trên thị trường hiện nay có rất nhiều loại răng sứ với các mức giá khác nhau. Vì thế chất lượng của răng sứ sẽ có ảnh hưởng trực tiếp đến kết quả điều trị. Những loại răng sứ giá rẻ thường sẽ có chất lượng thấp. Chúng có thể tiềm ẩn nhiều dấu hiệu răng sứ có vấn đề tới bệnh nhân sau này
Các vật liệu kém chất lượng có thể gây kích ứng nướu. Từ đó dẫn đến tình trạng sưng tấy, viêm nhiễm. Thậm chí nó có thể làm răng sứ không ổn định trong miệng. Trong những trường hợp nghiêm trọng, răng sứ kém chất lượng có thể bị đẩy lên cao. Hoặc tạo ra khe hở với nướu, gây mất thẩm mỹ. Theo thời gian nó sẽ ảnh hưởng xấu đến sức khỏe răng miệng lâu dài.

Keo dán sứ kém chất lượng dẫn đến răng sứ có vấn đề
Chất lượng vật liệu dán sứ đóng vai trò quan trọng trong việc đảm bảo độ bền. Cùng với đó là sự ổn định của răng sứ sau khi phục hình. Keo dán sứ chất lượng thấp không chỉ làm giảm khả năng kết dính. Nó còn làm răng thật và mão sứ dễ bị tách rời ra theo thời gian. Đặc biệt là khi phải chịu tác động của lực nhai.
Sau một thời gian, keo dán không đủ bền, răng sứ có thể bị lỏng lẻo. Thông qua đó dẫn đến các dấu hiệu răng sứ có vấn đề. Trong những trường hợp nghiêm trọng, răng sứ thậm chí có thể bị rơi ra ngoài. Từ đó gây ảnh hưởng đến chức năng ăn nhai và thẩm mỹ của nụ cười. Vì vậy, việc sử dụng keo dán sứ chất lượng cao và uy tín rất quan trọng. Đây là yếu tố thiết yếu để đảm bảo sự ổn định lâu dài của răng sứ.

Vệ sinh răng miệng sai cách làm hở chân răng sứ
Bên cạnh việc lựa chọn vật liệu và công nghệ phù hợp, vệ sinh răng miệng đúng cách cũng là một yếu tố quan trọng giúp kéo dài tuổi thọ của răng sứ. Một số bệnh nhân chọn cơ sở nha khoa uy tín và bác sĩ có tay nghề cao. Tuy nhiên, sau khi bọc thì họ lại không duy trì thói quen vệ sinh răng miệng hợp lý. Khi đó họ vẫn có thể gặp phải những dấu hiệu răng sứ có vấn đề
Một số người sử dụng lực chải quá mạnh hoặc chải răng theo chiều ngang. Tuy nhiên, những thói quen đó có thể gây tổn thương cho nướu và làm lỏng răng sứ. Ngoài ra, một số trường hợp không làm sạch kỹ càng xung quanh chân răng sứ. Chúng cũng có thể tạo điều kiện cho vi khuẩn phát triển, gây viêm nhiễm. Theo thời gian nó sẽ làm yếu kết nối giữa răng thật và mão sứ.

Răng sứ có vấn đề gây ra những hệ quả nào?
Giảm tính thẩm mỹ
Dấu hiệu răng sứ có vấn đề không chỉ ảnh hưởng đchức năng của răng miệng. Nó còn gây tác động nghiêm trọng đến tính thẩm mỹ của nụ cười. Lúc này, khoảng trống hoặc khe hở giữa răng sứ, cùi răng và nướu rất rõ. Theo thời gian điều này làm giảm sự đều đặn và hài hòa của hàm răng. Thông qua đó tạo ra một sự mất cân đối rõ rệt.
Tình trạng này có thể khiến người bệnh cảm thấy thiếu tự tin. Đặc biệt khi cười hoặc giao tiếp với người khác, bởi sự xuất hiện của khoảng trống dễ nhận thấy. Việc răng sứ không khít đúng sẽ làm giảm sự hài lòng về ngoại hình. Thông qua đó ảnh hưởng trực tiếp đến cảm giác tự tin với mọi người. Đồng thời tạo nên sự bất tiện trong các hoạt động giao tiếp hàng ngày.

Gây đau nhức nướu và hôi miệng
Khi mắc các dấu hiệu răng sứ có vấn đề khu vực giữa răng sứ và cùi răng sẽ tạo ra một không gian dễ bị dính thức ăn, gây khó khăn trong việc vệ sinh răng miệng. Điều này không chỉ làm tăng nguy cơ viêm nhiễm nướu. Nó còn tạo điều kiện cho vi khuẩn phát triển. Từ đó dẫn đến các vấn đề như đau nhức nướu, sưng tấy, và hôi miệng.
Ngoài ra, những tác động từ thực phẩm nóng, lạnh sẽ ảnh hưởng xấu. Tại đây những thực phẩm này dễ dàng làm răng trở nên nhạy cảm. Thông qua đó gây đau nhức và khó chịu mỗi khi ăn uống hoặc nhai. Hơi thở có thể trở nên không thơm tho. Nó sẽ ảnh hưởng nghiêm trọng đến giao tiếp và chất lượng cuộc sống hàng ngày.
Nguy cơ nhiễm trùng và viêm nhiễm
Những dấu hiệu răng sứ có vấn đề không chỉ làm mất tính thẩm mỹ. Đây là còn là môi trường lý tưởng cho vi khuẩn tích tụ. Khi vi khuẩn xâm nhập vào khu vực này, có thể gây ra các bệnh lý về nướu. Ví dụ như viêm nướu, viêm lợi hoặc nhiễm trùng. Nếu không được xử lý kịp thời, có thể dẫn đến các biến chứng nghiêm trọng hơn. Ví dụ như áp xe hoặc thậm chí mất răng. Vì vậy, việc duy trì sự khít chặt giữa răng sứ và cùi răng là yếu tố quan trọng. Thông qua đó phòng ngừa các vấn đề về viêm nhiễm. Đồng thời bảo vệ sức khỏe răng miệng lâu dài.

Ảnh hưởng đến hệ tiêu hóa
Những dấu hiệu răng sứ có vấn đề không chỉ ảnh hưởng sức khỏe răng miện. Nó còn có thể tác động tiêu cực đến khả năng nhai và cắn thức ăn. Việc ăn uống trở nên khó khăn khi răng không khít. Điều này sẽ làm giảm hiệu quả trong việc nghiền nát thức ăn. Thông qua đó ảnh hưởng đến quá trình tiêu hóa.
Khả năng hấp thụ dưỡng chất từ thức ăn bị suy giảm. Từ đó dẫn đến các vấn đề về tiêu hóa và sức khỏe tổng thể. Bên cạnh đó, việc không thể nhai thức ăn đúng cách có thể gây căng thẳng cho hệ tiêu hóa. Điều này sẽ dẫn đến những rối loạn như đầy hơi, khó tiêu. Thậm chí ảnh hưởng đến chức năng dạ dày lâu dài.
Cách điều trị và phòng ngừa dấu hiệu răng sứ có vấn đề
Lựa chọn cơ sở nha khoa uy tín
- Ưu tiên lựa chọn những trung tâm nha khoa đã có uy tín lâu năm. Đồng thời được cấp giấy phép hoạt động rõ ràng bởi cơ quan quản lý chuyên ngành.
- Các cơ sở chuyên sâu về phục hình răng sứ sẽ quy tụ đội ngũ bác sĩ kinh nghiệm. Cùng với đó là có tay nghề cao trong lĩnh vực thẩm mỹ nha khoa.
- Điều trị tại những đơn vị uy tín giúp tối ưu hiệu quả phục hình. Đồng thời đảm bảo yếu tố an toàn, hạn chế tối đa các dấu hiệu răng sứ có vấn đề. Ví dụ như cộm, hở nướu, viêm lợi hay mất khớp cắn.

Sử dụng răng sứ chính hãng, chất lượng cao
- Bạn cần cân nhắc kỹ trước khi quyết định lựa chọn loại răng sứ. Tại đây bạn nên yêu cầu bác sĩ cung cấp thông tin chi tiết về xuất xứ, nhãn hiệu. Ngoài ra là bảng chứng nhận hoặc tem bảo hành loại răng sứ được sử dụng.
- Ưu tiên chọn các dòng răng sứ toàn sứ cao cấp như Emax, Lava Plus, Zirconia. Chúng có độ tương thích sinh học cao, không gây kích ứng nướu. Đồng thời độ bền tốt và khả năng thẩm mỹ vượt trội.
- Tránh sử dụng vật liệu không rõ nguồn gốc. Chúng có thể gây nên những dấu hiệu răng sứ có vấn đề trong dài hạn.
Vệ sinh răng miệng đúng cách và đều đặn
- Đánh răng ít nhất 2 – 3 lần/ngày, đặc biệt sau các bữa ăn và trước khi đi ngủ. Sử dụng bàn chải lông mềm để tránh làm tổn thương nướu.
- Nên chải răng theo chiều dọc hoặc chuyển động tròn. Tránh chải ngang mạnh có thể làm mòn răng và tổn thương mô nướu.
- Kết hợp dùng chỉ nha khoa, máy tăm nước hoặc nước súc miệng sát khuẩn. Thông qua đó làm sạch sâu các kẽ răng và vùng tiếp xúc giữa mão sứ và răng thật.
- Thực hiện massage nướu nhẹ nhàng hàng ngày để kích thích lưu thông máu. Từ đó giúp nướu chắc khỏe, phòng ngừa viêm nướu hoặc tụt lợi.

Thăm khám nha khoa định kỳ
- Duy trì lịch khám răng định kỳ từ 3 – 6 tháng/lần. Thông qua đó bác sĩ kiểm tra độ bám khít của răng sứ. Đồng thời phát hiện sớm các dấu hiệu răng sứ có vấn đề. Ví dụ như răng bị hở, viêm nướu, sâu răng tái phát.
- Thực hiện lấy cao răng định kỳ, loại bỏ mảng bám. Đồng thời hạn chế vi khuẩn tích tụ quanh mão sứ – yếu tố chính gây hôi miệng và viêm nha chu.
- Việc thăm khám thường xuyên còn giúp gia tăng tuổi thọ cho răng sứ. Từ đó đảm bảo sức khỏe răng miệng ổn định lâu dài.
Xem thêm:
- Bọc răng sứ khó nhai do đâu? Nguyên nhân và cách điều trị
- Viêm lợi sau khi bọc răng sứ? Nguyên nhân và cách khắc phục
Trên đây là các dấu hiệu răng sứ có vấn đề và nguyên nhân gây ra. Cùng với đó là các biến chứng nguy hiểm và cách điều trị phòng ngừa hiệu quả. Để được tư vấn cụ thể, hãy liên hệ Nha khoa DrGreen theo thông tin bên dưới
Hotline: 0936.996.609
Fanpage: https://www.facebook.com/nhakhoadrgreen
Website: nhakhoadrgreen.vn
Hệ thống Nha khoa Dr Green:
- 40B Lạch Tray, Ngô Quyền, Hải Phòng
- HDS11 Vinhomes Marina, Lê Chân, Hải Phòng
- 38 Tân Dương, Thủy Nguyên, Hải Phòng
- 43 Trần Phú, Cẩm Phả, Quảng Ninh












